
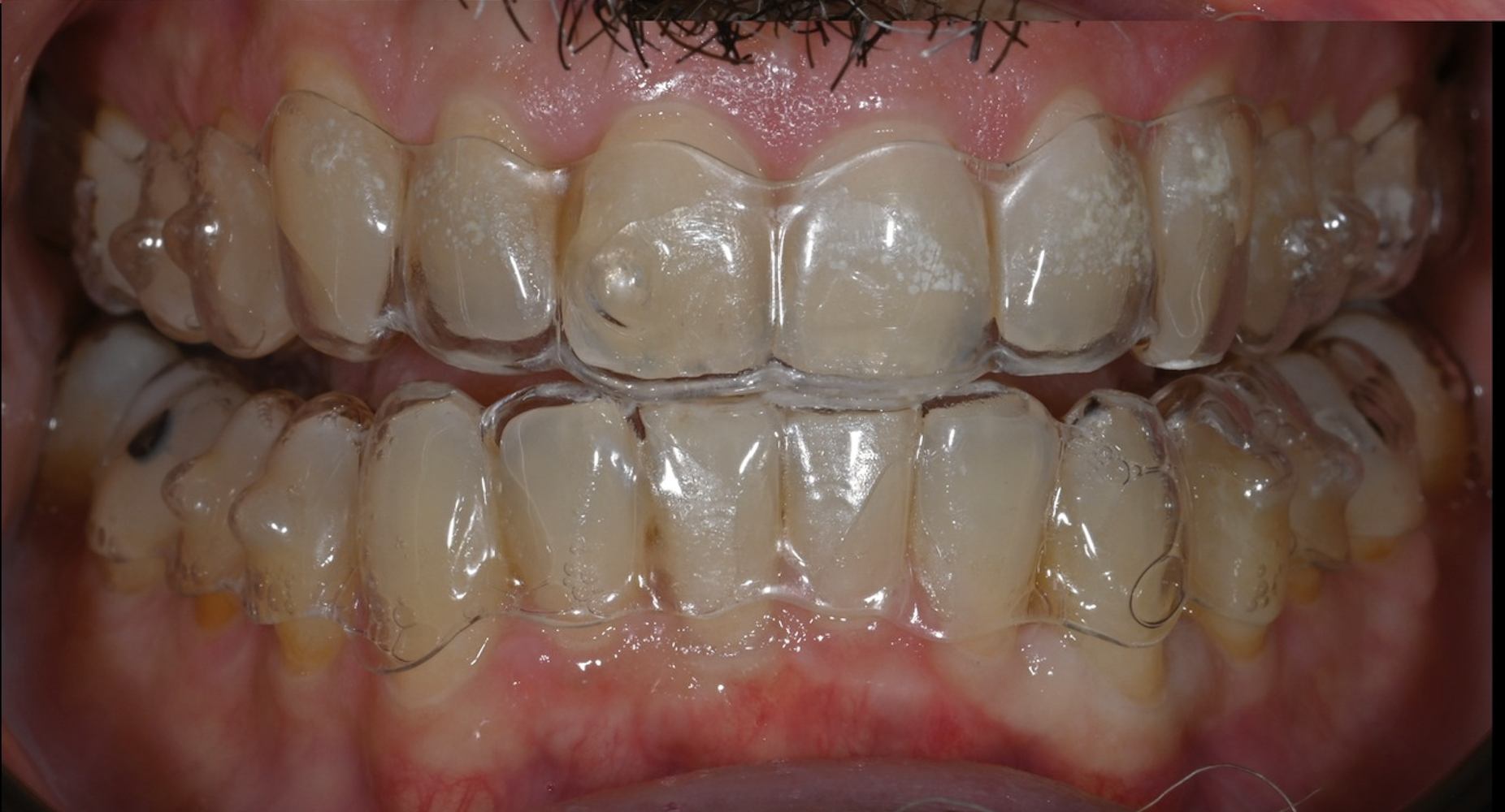
Le patient est en cours de traitement par aligneurs transparents (avant-dernier aligneur N30). Il souhaite profiter de cette phase orthodontique pour éclaircir ses dents simultanément, sans interrompre ni compromettre son traitement. Le protocole complet est de 30 nuits — les photographies présentées ici ont été réalisées à 14 nuits (mi-parcours), témoignant d'un résultat déjà très significatif à la moitié du traitement.
La présence d'attachements directionnels (pins) sur les faces vestibulaires représentait traditionnellement un frein à l'éclaircissement ambulatoire. Ce cas démontre que la formulation BlancOne Ever CP 7% lève ce verrou clinique.
« La technologie brevetée BlancOne Ever permet de combiner confort, sécurité et efficacité — même en présence d'attachements. »
Dr Aldo Mazzella





Ce cas démontre qu'il est possible d'intégrer l'éclaircissement ambulatoire dans un traitement par aligneurs transparents, sans compromettre l'orthodontie en cours. La formulation CP 7% de BlancOne Ever, associée à la technologie hydroxyapatite, offre un résultat esthétique significatif (−12 teintes) dès 14 nuits — soit la moitié du protocole complet de 30 nuits — sans sensibilité et sans déshydratation de l'émail.
Des études cliniques confirment que le peroxyde de carbamide diffuse efficacement sous les attachements directionnels grâce à la petite taille de la molécule d'oxygène.