Pendant longtemps, l'éclaircissement a été considéré comme secondaire, parfois peu médical, avec une formation limitée et des idées reçues persistantes.
Aujourd'hui, l'éclaircissement est une approche documentée scientifiquement, sûre lorsqu'elle est bien maîtrisée, et surtout la technique la moins invasive à disposition pour améliorer l'esthétique du sourire. Dans une dentisterie de plus en plus conservatrice, il s'inscrit pleinement dans un gradient thérapeutique logique.
Selon le profil clinique du patient — teinte initiale, dyschromie (colorations intrinsèques, extrinsèques, iatrogènes), sensibilités, âge, disponibilité et attentes — le produit et le protocole ne sont pas les mêmes.


Contexte
Rôle de l'éclaircissement
Apport Tooth Rejuvenation™
Amélioration progressive de la teinte, approche douce intégrable dans le quotidien du patient.


© Dr Giuseppe Lipani
Contexte
Rôle de l'éclaircissement
Apport Tooth Rejuvenation™
Contribution à la protection de l'émail, limitation du risque de déminéralisation. Particulièrement pertinent avec aligneurs, contentions et protocoles post-brackets. → Protocole recommandé : HOME+ EVER — utilisable pendant l'alignement actif, même en présence de taquets. Formule douce à port nocturne, compatible avec les gouttières thermoformées. Résultat progressif et durable, sans interférer avec le traitement orthodontique en cours.


Contexte
Rôle de l'éclaircissement
Apport Tooth Rejuvenation™
Préparation progressive de l'émail, amélioration de l'homogénéité de surface, meilleure intégration esthétique globale.


Contexte
Rôle de l'éclaircissement
Apport Tooth Rejuvenation™
Approche progressive et conservatrice, complémentaire des autres techniques (infiltration, micro-abrasion).


Contexte
Rôle de l'éclaircissement
Apport Tooth Rejuvenation™
Effet esthétique immédiat et progressif, amélioration de la perception du soin, meilleure adhésion patient.


Contexte
Rôle de l'éclaircissement
Apport Tooth Rejuvenation™
Utilisation simple via les gouttières existantes, amélioration continue sans contrainte supplémentaire, excellente compliance.
Clean&White, c'est une vision globale du soin bucco-dentaire : offrir aux patients un sourire à la fois sain et éclatant. Deux piliers cliniques indissociables, pensés comme un seul parcours cohérent.
Plutôt que de proposer l'éclaircissement comme un acte isolé, BlancOne intègre la prophylaxie et l'éclaircissement dans une même logique de soin — en commençant toujours par assainir avant d'embellir.
Pilier 1
CLEAN
Prophylaxie professionnelle — détartrage, aéropolissage, assainissement parodontal. La base indispensable.
Pilier 2
WHITE
Éclaircissement adapté — ambulatoire, mixte ou fauteuil seul. Personnalisé selon le profil clinique.
Le parcours Clean&White en pratique
Bilan clinique
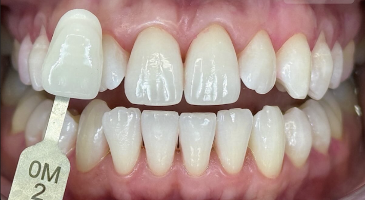
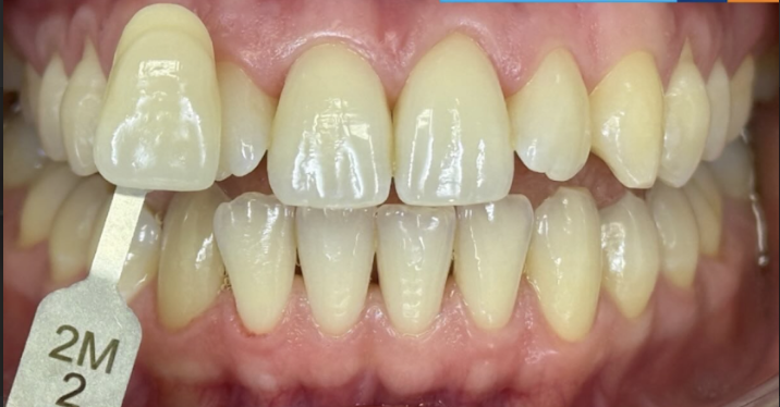
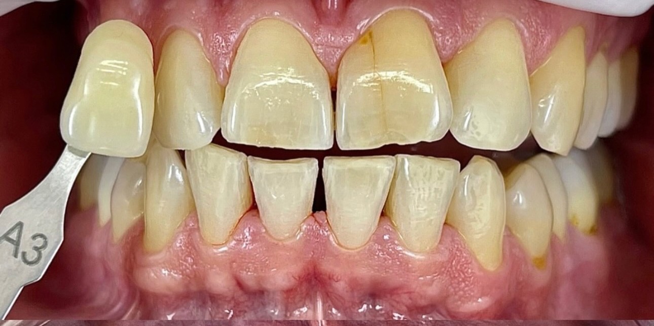
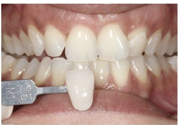
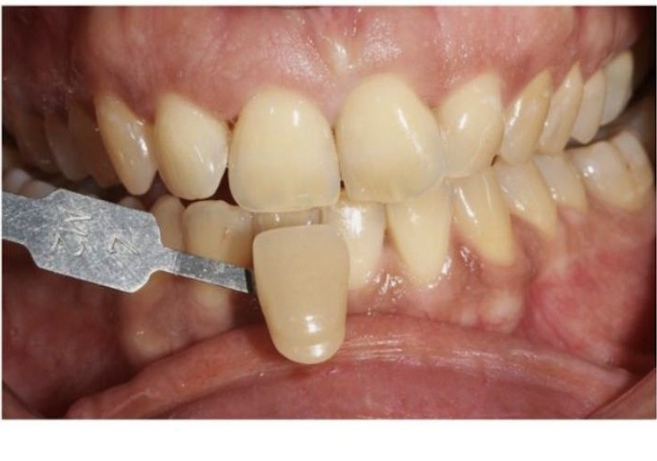
Questionnaire médical, évaluation de la teinte initiale avec le teintier BlancOne, identification des indications.
CLEAN — Prophylaxie
Séance Clean&White Xpower : détartrage ultrasons + aéropolissage. Assainissement complet, préparation de l'émail.
WHITE — Éclaircissement
Protocole adapté au profil : ambulatoire HOME+, technique mixte, ou traitement au fauteuil.
Avant la réalisation de soins conservateurs ou de prothèse dans le secteur antérieur, la question doit systématiquement être posée : est-ce qu'un alignement et un éclaircissement permettent d'atteindre le résultat souhaité ?
L'éclaircissement ne se développe pas simplement avec un produit, mais avec une approche structurée : savoir quand le proposer, comment l'intégrer sans alourdir l'organisation du cabinet, et sécuriser son utilisation pour le praticien comme pour le patient.
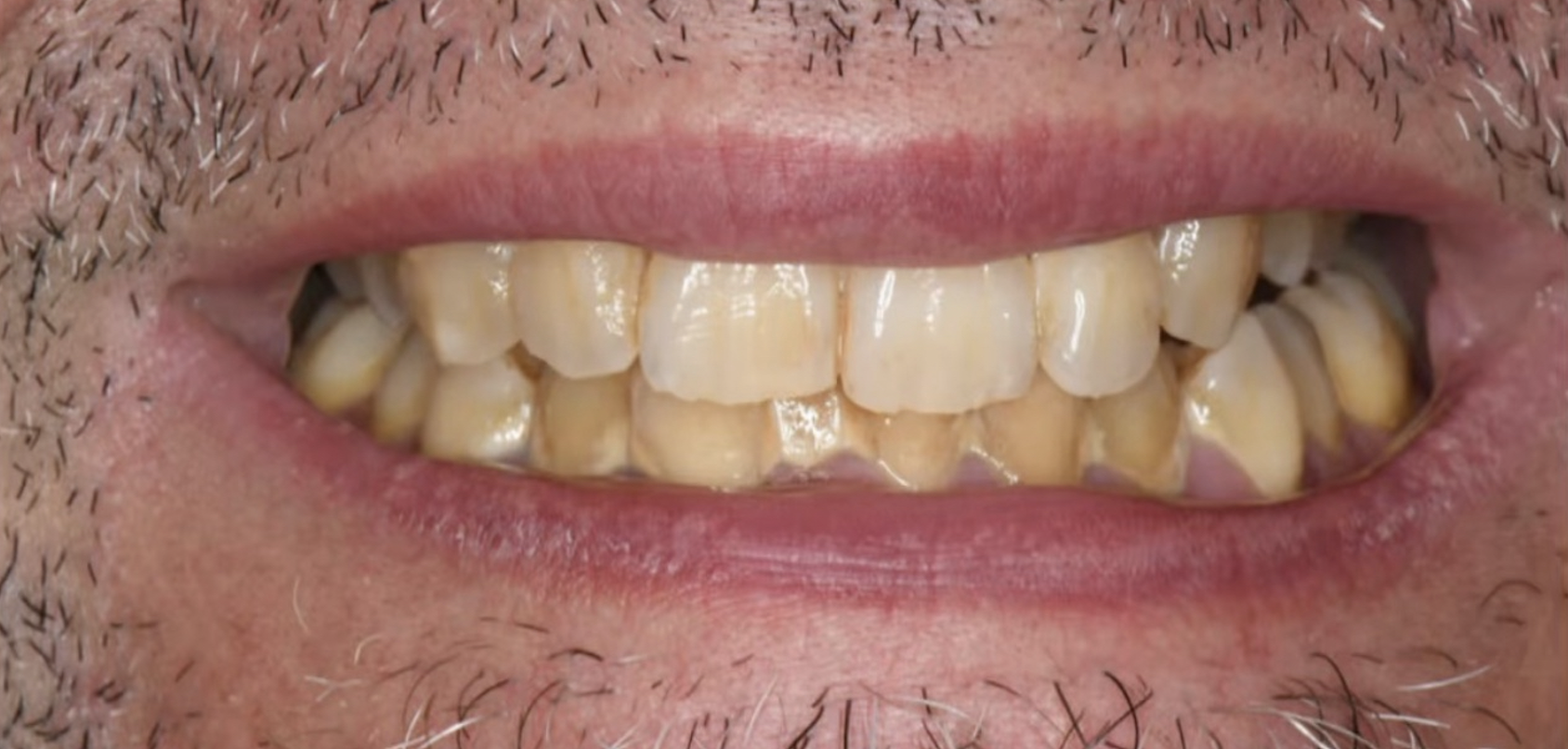
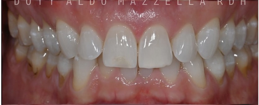
Il existe trois familles d'indications : les colorations physiologiques (vieillissement, tabac, alimentaire), les dyschromies pathologiques (fluoroses, MIH, tétracyclines, traumas), et les indications dans le cadre d'un plan de traitement restaurateur. Toutes sont médicalement valides — au sens de la définition OMS de la santé : un état de complet bien-être physique, mental et social.
Principe fondamental : toujours privilégier la thérapeutique la moins invasive afin de préserver le capital tissulaire de la dent.
Gradient thérapeutique (Attal & Tirlet) — principe de conservation tissulaire
Gradient thérapeutique — du moins au plus invasif
Point clinique important : Avant toute restauration dans le secteur antérieur, la question de l'éclaircissement préalable doit être posée et le patient informé. Les matériaux de restauration n'étant pas sensibles aux produits d'éclaircissement, un éclaircissement secondaire imposerait de refaire la restauration. Attendre 15 jours après l'éclaircissement avant de réaliser les restaurations définitives.



Documentation clinique
Voir les cas cliniques et études de cas
Retours d'expérience de praticiens, protocoles détaillés et résultats documentés.
Cas cliniques












L'échec d'un éclaircissement découle le plus souvent d'une erreur dans la chaîne de décision clinique.
Déterminer l'origine de la dyschromie (extrinsèque, intrinsèque, iatrogène, liée à l'âge) pour adapter le protocole et anticiper le résultat.
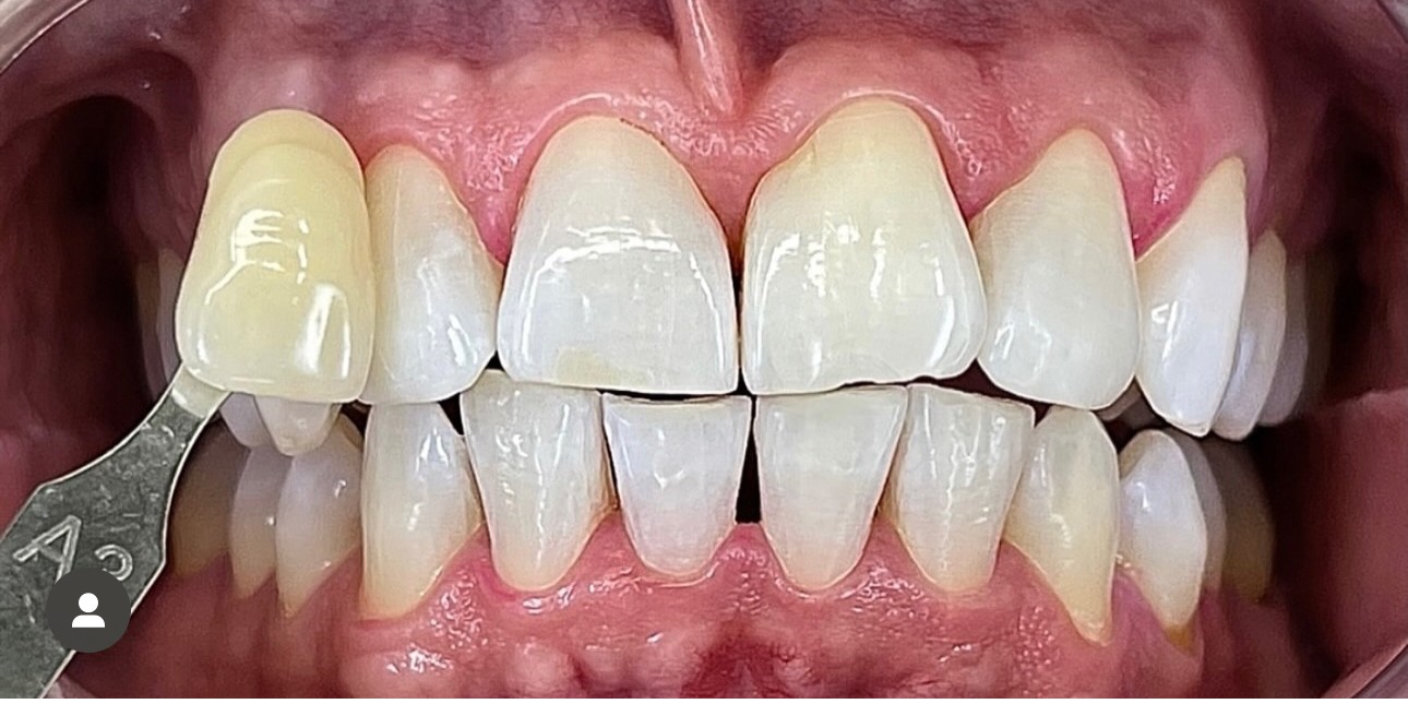
Relevé colorimétrique précis (idéalement par spectrophotométrie) pour établir un point de départ objectif et évaluer le potentiel d'éclaircissement.
Évaluer la concentration en peroxyde et la durée d'application nécessaires en fonction de la sensibilité initiale et de l'objectif visé.
Estimer la capacité et la motivation du patient à suivre rigoureusement le protocole ambulatoire et les consignes d'hygiène post-traitement.
Favorable
Variable
Défavorable
Sensibilités dentinaires
Les sensibilités dépendent du temps de contact et de la composition du produit. Si le patient ressent des sensibilités, réduire les temps de contact jusqu'à trouver la durée qui ne provoque aucune gêne. Utiliser des produits à base de nano-hydroxyapatite comme ceux de BlancOne pour prévenir et réduire les sensibilités.
Résultat insuffisant
Vérifier rigoureusement l'observance du patient. Si elle est bonne, prolonger le traitement d'une semaine ou passer sur une approche mixte avec une séance au fauteuil pour relancer la cinétique.
Taches blanches
Rassurer immédiatement le patient : ces hyper-minéralisations transitoires s'estompent naturellement en quelques jours grâce à la réhydratation homogène de l'émail par la salive.
L'éclaircissement ne s'intègre pas après le plan de traitement — il en est le point de départ. Il définit la nouvelle teinte de référence sur laquelle toutes les restaurations ultérieures seront accordées.
Préparation du terrain et élimination des pathologies actives avant toute intervention esthétique.
Amélioration du substrat existant. L'éclaircissement définit la nouvelle teinte de référence.
Réalisation des prothèses et restaurations en s'accordant sur la nouvelle teinte optimisée.