
Beaucoup de patients viennent pour l'esthétique — et repartent avec quelque chose de plus : une bouche assainie, des gencives équilibrées, et la confiance retrouvée de sourire sans retenue.
BlancOne ne se limite pas à l'éclaircissement. Chaque traitement commence par un soin d'hygiène complet qui élimine la plaque bactérienne, renforce l'émail et prépare les dents pour un résultat optimal — et durable.


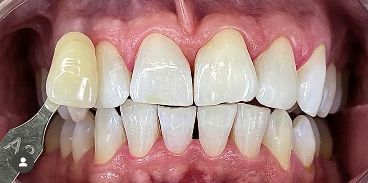
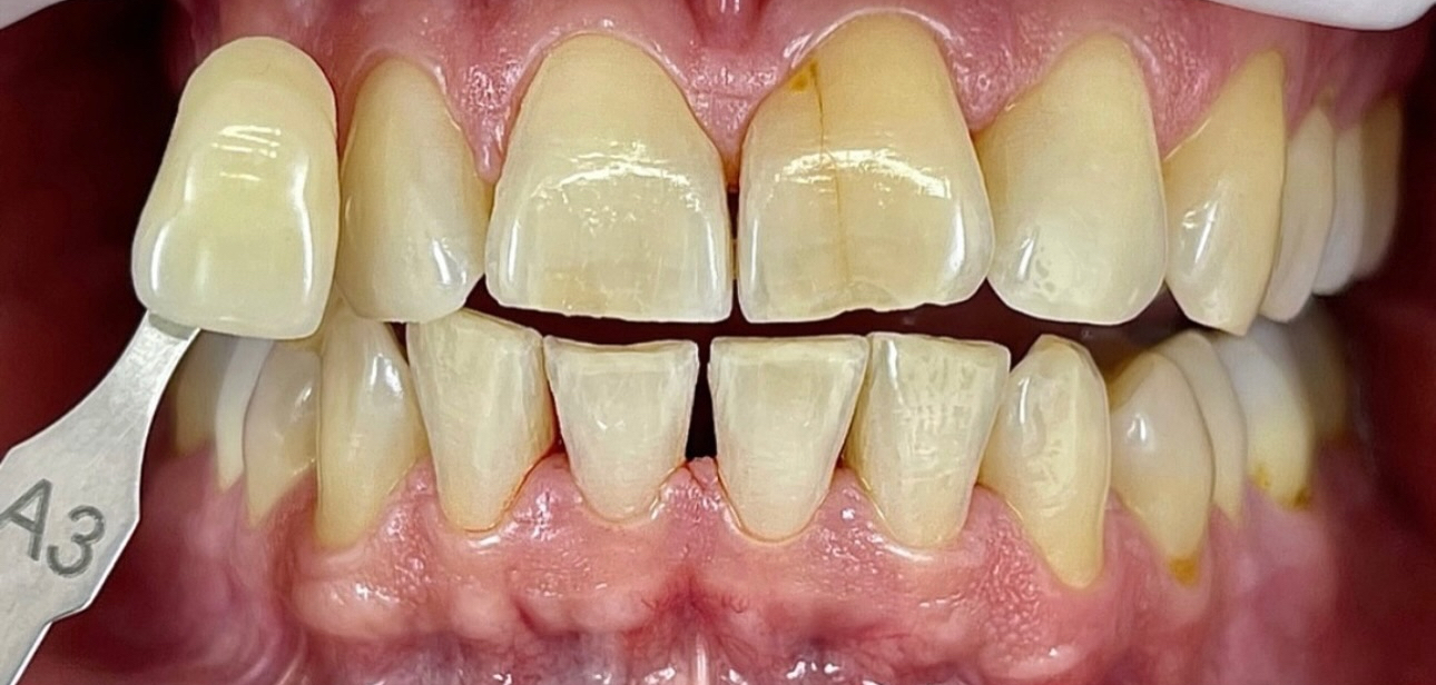
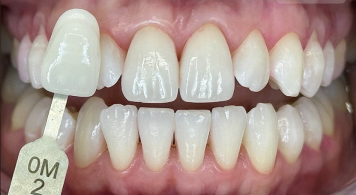
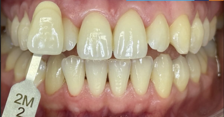
Avant tout éclaircissement, votre dentiste réalise un bilan complet : état des gencives, présence de caries, qualité des restaurations. Un environnement sain est indispensable pour un résultat optimal et durable.
La technologie XPower permet : élimination du biofilm bactérien, suppression de la plaque et du tartre, nettoyage des colorations de surface. Le tout dans une expérience radicalement différente : eau chauffée à température corporelle, aéropolissage doux, réduction des sensations douloureuses. Résultat : un soin complet, une sensation de confort proche d'un « soin spa », une bouche assainie en profondeur.
Un sourire sain et éclatant — c'est l'ambition de chaque soin BlancOne. Deux piliers indissociables, pensés ensemble.
Étape 1
Prophylaxie professionnelle
Avant tout traitement esthétique, votre dentiste assainit votre bouche en profondeur. Le soin CLEAN élimine le biofilm bactérien, le tartre et les colorations de surface grâce à la technologie XPower — aéropolissage et ultrasons.
Étape 2
Éclaircissement personnalisé
Sur une base saine, votre dentiste adapte le traitement d'éclaircissement à votre profil : ambulatoire à domicile, technique mixte fauteuil + domicile, ou séance au fauteuil seul. Chaque protocole est choisi pour votre situation.
BlancOne est bien plus qu'un "simple" système d'éclaircissement. C'est une approche globale du sourire qui intègre hygiène avancée, éclaircissement professionnel et réhabilitations esthétiques minimalement invasives.

Le système HOME+ est un traitement 2 en 1 qui permet d'éclaircir progressivement les dents à domicile, tout en contribuant à renforcer et reminéraliser leur surface. Réalisé à l'aide de gouttières sur mesure, il offre une approche confortable, précise et personnalisée.
Le traitement de référence pour éclaircir durablement les dents
Il est généralement recommandé lorsque :
Ce que ça implique
Si une ou plusieurs dents visibles doivent être refaites, cela peut aussi être le bon moment pour harmoniser la teinte du sourire. Lorsqu'une couronne, une facette ou un composite est réalisé sur une dent antérieure, sa couleur est choisie pour s'intégrer au mieux aux dents voisines. Or, contrairement aux dents naturelles, une restauration terminée ne s'éclaircit pas par la suite. Éclaircir les dents adjacentes en amont, lorsque cela est indiqué, permet donc souvent d'obtenir un résultat plus lumineux, plus homogène et plus naturel.
Préservation tissulaire maximale, résultats esthétiques durables, approche centrée sur la santé.

Chaque sourire est différent, et le traitement est toujours adapté en fonction de votre situation.
Votre praticien vous orientera vers la solution la plus adaptée.
Vos dents sont uniques.
Votre traitement doit l'être aussi.
Résultat immédiat, coup d'éclat au sourire, résultat limité et moins durable dans le temps.
Progressif, confortable, durable. Idéal pour la majorité des cas.
Pour aller plus vite et optimiser le résultat dès le départ.
Dents jaunies, sensibilités, colorations médicamenteuses ou simplement un sourire qui manque d'éclat — chaque situation a une réponse. Sélectionnez votre cas pour découvrir la solution adaptée.
De la première consultation au résultat final, voici les 3 étapes d'un traitement BlancOne chez votre dentiste.
Votre dentiste évalue l'état de vos dents et gencives, identifie la cause de la coloration et vous propose le protocole le plus adapté à votre situation.
Avant tout éclaircissement, un protocole d'hygiène CLEAN élimine la plaque, le tartre et les colorations de surface. Vos dents sont assainies et préparées pour un résultat optimal.
1 séance en cabinet, environ 45 minSelon votre cas : séance au fauteuil, gouttières à domicile, ou les deux. Votre dentiste suit l'évolution et ajuste si nécessaire pour un résultat naturel et durable.
Les formules BlancOne contiennent du nHAp (nano-hydroxyapatite), le même minéral qui compose l'émail dentaire. Ils éclaircissent, renforcent et reminéralisent simultanément.
Minéral biocompatible identique à l'émail. Comble les micro-fissures, renforce la structure dentaire et réduit les sensibilités.
Les concentrations élevées de peroxyde sont désormais interdites en Europe. Les formules BlancOne sont certifiées CE, sûres et efficaces.
Chaque produit BlancOne est développé en collaboration avec des chercheurs et testé cliniquement pour garantir efficacité et innocuité.
Fini les gels agressifs à forte concentration. La réglementation européenne a limité les concentrations de peroxyde, et BlancOne a développé des formules de nouvelle génération qui éclaircissent en profondeur sans agresser l'émail.
Le nHAp agit comme un bouclier : il pénètre dans les tubules dentinaires, réduit les sensibilités et renforce l'émail pendant toute la durée du traitement.


Sophie M.
34 ans · HOME+ NIGHT
J'avais essayé des kits en pharmacie sans résultat. Avec BlancOne HOME+ NIGHT prescrit par mon dentiste, j'ai gagné 6 teintes en 2 semaines. Aucune sensibilité, je suis bluffée.

Thomas L.
28 ans · BlancOne ULTRA
Une seule séance d'une heure et le résultat est spectaculaire. Mon dentiste m'a d'abord fait un soin d'hygiène avec la technologie Xpower, c'était vraiment agréable. Je recommande à 100%.

Marie-Claire D.
52 ans · Protocole mixte
Après 20 ans de café et de thé, mes dents étaient très tachées. Le protocole mixte a tout changé. Mon dentiste m'a accompagnée à chaque étape. Résultat naturel et durable.