Guide clinique

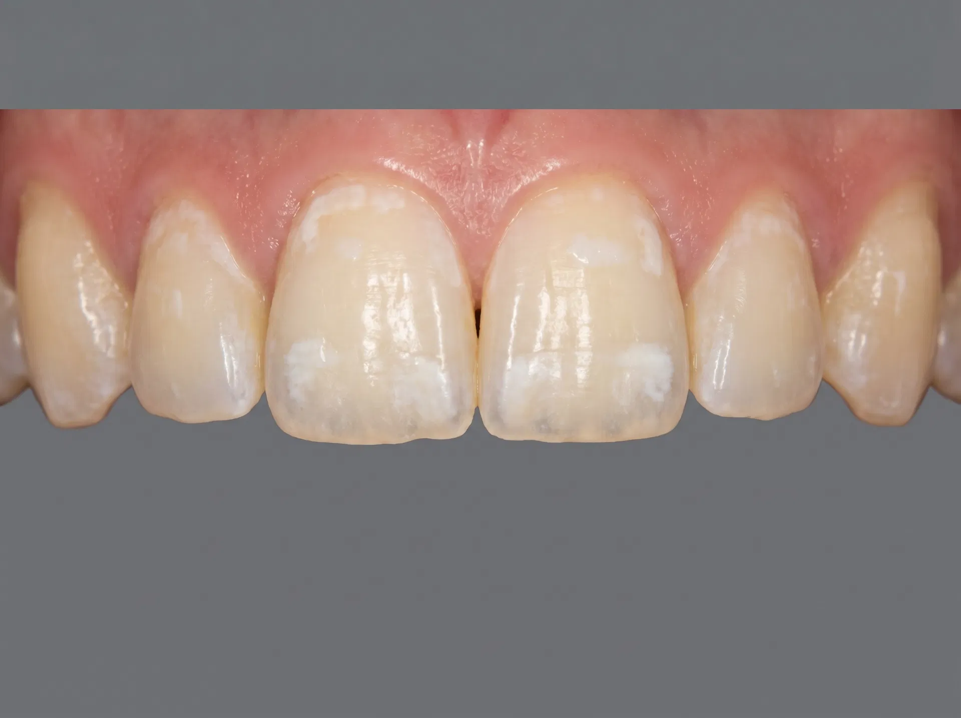
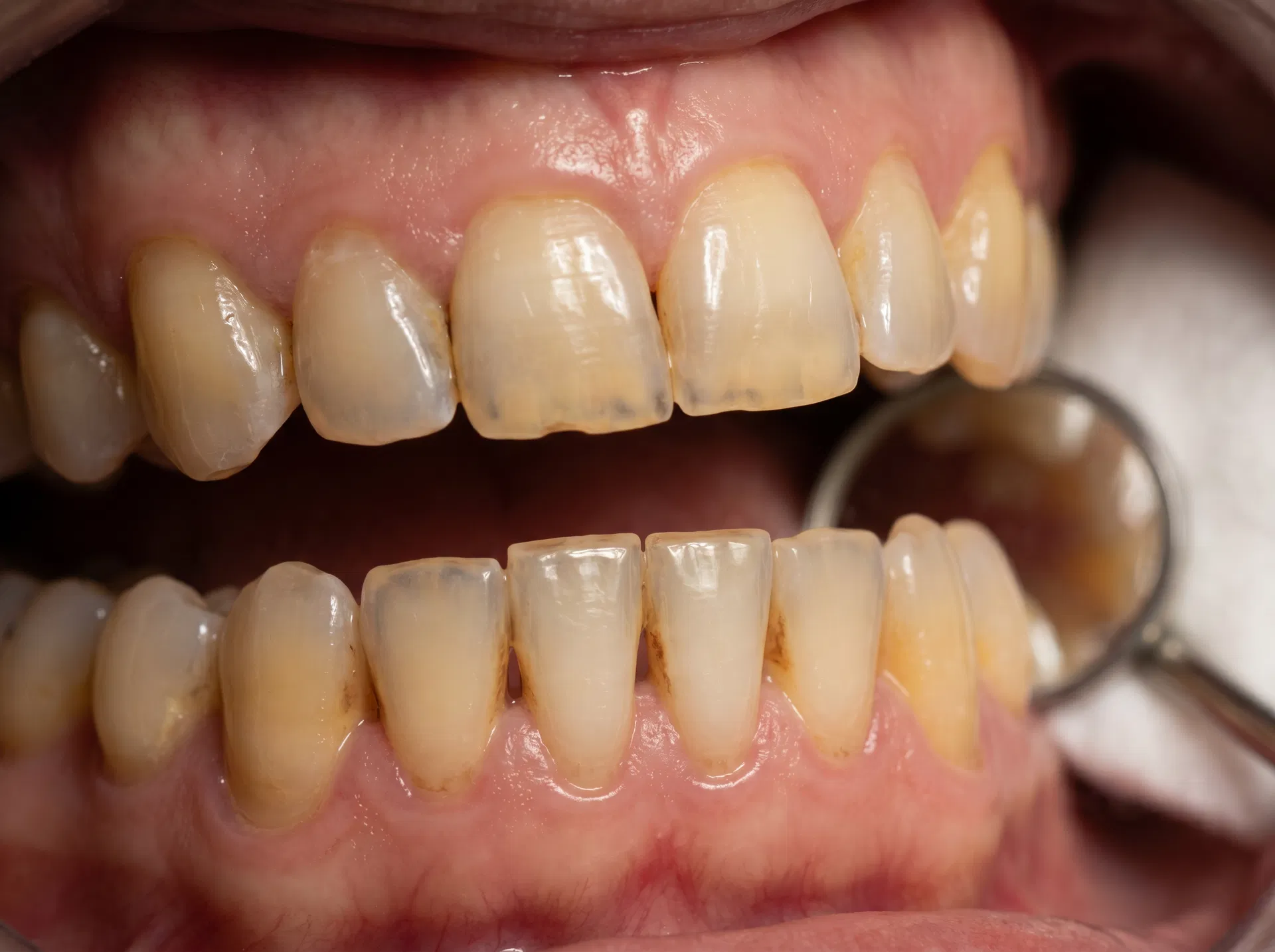
Reconnaître mon cas

Identifiez votre situation parmi les cas les plus fréquents et découvrez le traitement BlancOne adapté à votre profil.

Sélectionnez votre situation

Quelle est votre problématique ?

Cliquez sur votre cas pour obtenir la recommandation BlancOne adaptée.

Comparatif

Quel traitement pour quel profil ?

TraitementProfil idéalEfficacitéStabilité
Au fauteuilRésultat immédiat souhaité★★★☆☆1–4 mois
AmbulatoireRésultat durable, sensibilité faible★★★★★4–5 ans
MixteRésultat rapide et durable★★★★★4–5 ans
FAQ

Questions fréquentes

Prochaine étape

Prêt à passer à l'étape suivante ?

Un chirurgien-dentiste formé BlancOne établira un bilan personnalisé et vous proposera le protocole adapté à votre situation.