BlancOne a une réponse à chaque problématique du sourire. Identifiez la vôtre et échangez avec votre dentiste pour découvrir le soin le plus adapté à votre cas.


Les colorations dues au café, thé ou vin rouge s'incrustent dans l'émail avec le temps. Un traitement adapté permet de les atténuer efficacement pour retrouver un sourire plus clair.


Les colorations nicotiniques sont parmi les plus tenaces et les plus profondes. Un traitement adapté et suivi par votre dentiste permet d'obtenir des résultats durables.


Avec l'âge, l'émail s'amincit et la dentine sous-jacente, plus jaune, transparaît davantage. Un traitement d'éclaircissement adapté agit en profondeur pour un résultat naturel et durable.


Certains médicaments pris pendant l'enfance peuvent colorer les dents en profondeur. Ces cas nécessitent une consultation approfondie et un traitement personnalisé adapté à votre situation.


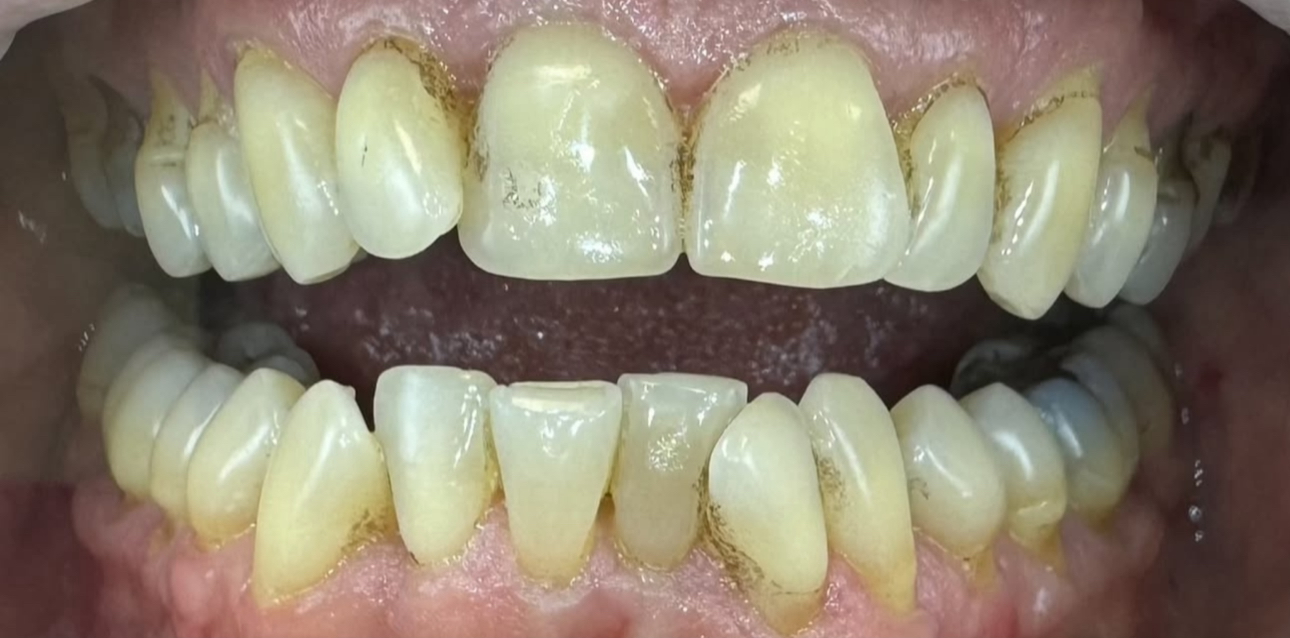
Le tartre et la plaque ternissent le sourire et sont un terrain propice aux maladies parodontales. Un soin d'hygiène professionnel les élimine intégralement pour assainir la bouche.


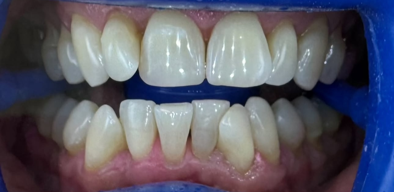
Même sans coloration marquée, un sourire peut manquer de luminosité. Un traitement adapté peut redonner de l'éclat et de la vitalité à votre sourire.