
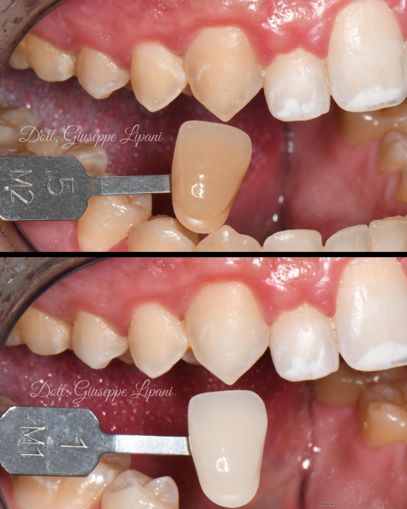
Deux patients, deux protocoles. En haut : éclaircissement ambulatoire classique (sans booster vitaminique ni nHAp). En bas : BlancOne HOME+ EVER + NIGHT. Même contexte clinique — émail déminéralisé post-orthodontique. Gain de luminosité documenté au teintier 3D-Master : jusqu'à 5M2 → 1M1.
Dr Giuseppe Lipani
Chirurgien-dentiste — Italie
5M2 → 1M1
Gain de luminosité (3D-Master)
30 nuits
Durée totale du traitement
2 patients
Comparaison directe
nHAp + booster
Différentiel de formulation
Même contexte clinique (émail déminéralisé post-orthodontique) — deux protocoles d'éclaircissement ambulatoire

Les deux patients présentent une dyschromie dentaire sur fond d'émail déminéralisé post-orthodontique — situation fréquente après traitement par bagues, où la déminéralisation péri-bracket laisse des zones d'émail structurellement fragilisé et optiquement altéré.
Le Patient A a été traité avec un système d'éclaircissement ambulatoire classique — sans booster vitaminique ni nHAp. Résultat satisfaisant sur la luminosité, mais sans action sur la structure amélaire déminéralisée. Le Patient B a bénéficié du protocole BlancOne HOME+ combinant EVER 7% et NIGHT 12%, dont les formulations intègrent nHAp et booster vitaminique.
La comparaison directe illustre l'apport clinique de la nHAp dans ce contexte spécifique : non seulement la luminosité est supérieure, mais la texture de surface et la perception visuelle de l'émail sont améliorées — résultat du renforcement des prismes amélaires fragilisés par la nHAp.
Référence scientifique
Une étude publiée dans Scientific Reports (Nature, 2025) a comparé BlancOne HOME Night+ (12% CP + nHAp) à trois systèmes ambulatoires classiques (Opalescence, Zoom, Pola) sur émail bovin. L'analyse AFM démontre que BlancOne et Pola sont les seuls produits à ne pas induire de modification significative de la rugosité amélaire de surface. En nanoindentation, BlancOne préserve la dureté et le module de Young de l'émail à des valeurs proches du contrôle non traité, là où Opalescence induit une profondeur de pénétration dix fois supérieure sous la même charge. Sur le plan de l'efficacité, BlancOne présente un effet éclaircissant hautement significatif (p < 0,0001) — équivalent à Opalescence et supérieur à Zoom et Pola (p < 0,0001).
Consulter l'étude sur Nature.com
Patient B — sourire avant/après BlancOne HOME+ EVER + NIGHT






