
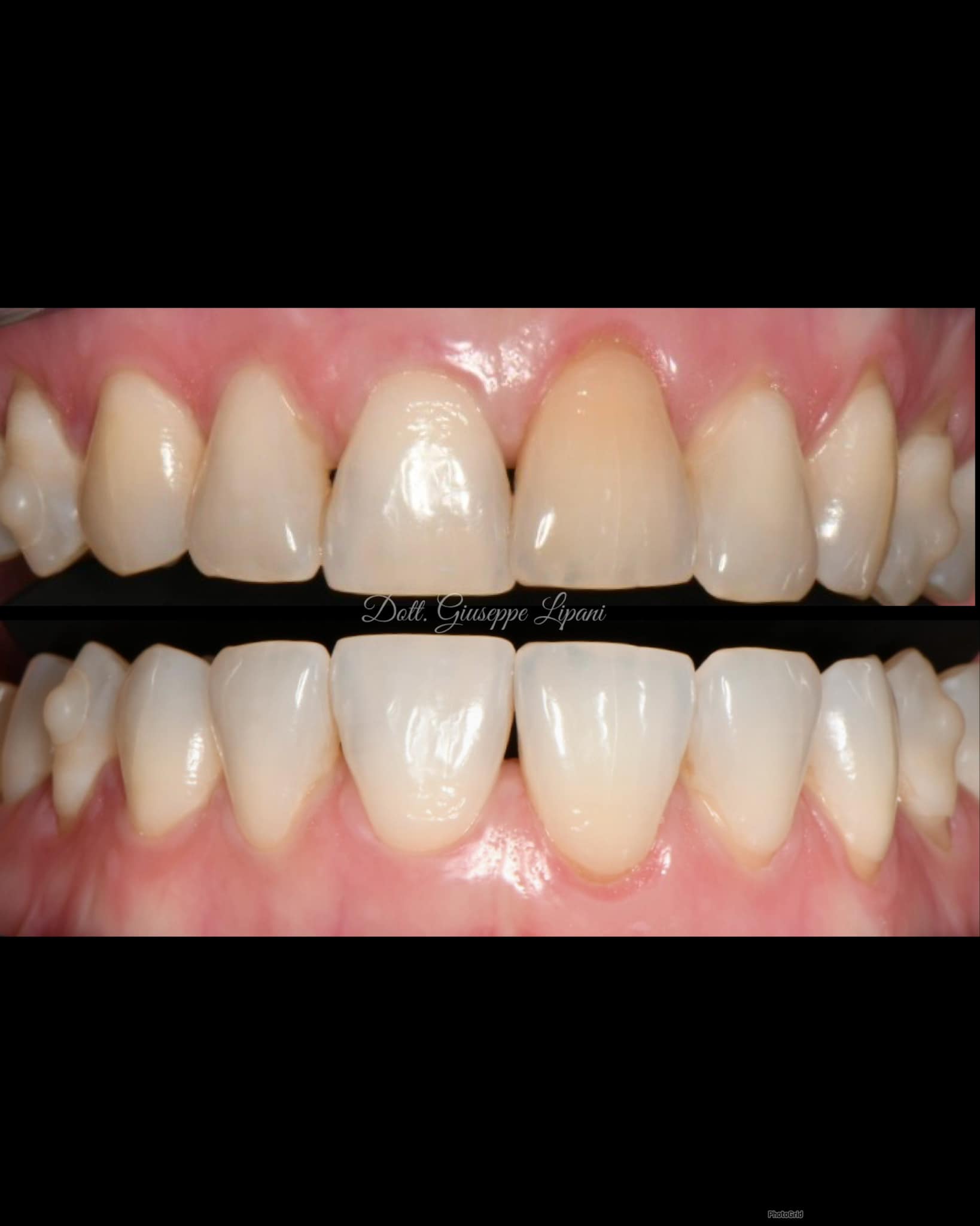
Patient de 51 ans, taquets orthodontiques en place. BlancOne EVER 7% (peroxyde de carbamide 7% + nHAp 1,5% + booster vitaminique) administré via l'aligneur. Aucune inhomogénéité chromatique à la dépose des taquets.
Dr Giuseppe Lipani
Chirurgien-dentiste — Italie
51 ans
Âge du patient
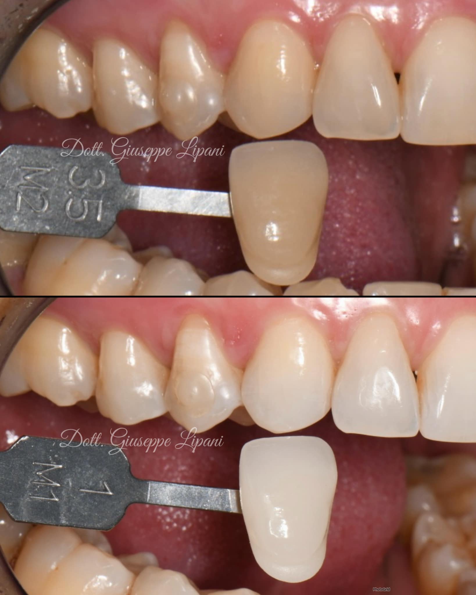
EVER 7%
Formule BlancOne utilisée
M2 → M0.5
Gain chromatique documenté
0
Inhomogénéité à la dépose
« Aligner et blanchir simultanément en toute sécurité — c'est désormais possible. À la dépose des taquets orthodontiques, aucune inhomogénéité chromatique n'a été constatée. »
— Dr Giuseppe Lipani

Situation initiale
Boutons orthodontiques en place — teinte N3 / M2

Avant / Après
Homogénéité chromatique complète à la dépose des taquets




